- Этиология
- Причины возникновения
- Стадии морфогенеза
- Распространенность
- Жизненный цикл
- Промежуточный хозяин
- Окончательный хозяин
- Общие сведения
- Жизненный цикл эхинококка и пути заражения
- Заражение
- Пути заражения эхинококками
- Пути заражения окончательного хозяина
- Пути заражения промежуточного хозяина
- Пути заражения человека
- Эхинококкоз печени
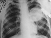
- Эхинококкоз легких
- Эхинококкоз сердца
- Эхинококкоз головного мозга
- Основные положения
- Классификация и стадии развития эхинококкоза
- Виды эхинококкоза печени
- Этиология гельминтозной болезни
- Патогенез (что происходит?) во время Эхинококкоза легких:
- Симптомы паразитарного заболевания
- Возможные осложнения
- Диагностика эхинококкозов
- Яйца эхинококка
- Личинка эхинококка
- Финна эхинококка
- Эхинококковая киста
- Жидкость, заполняющая кисту
- Оболочка эхинококковой кисты
- Лечение эхинококкоза
Этиология
Царство животные
Тип плоские черви
Класс ленточные черви
Отряд циклофиллиды (Cyclophyllidea)
Семейство тенииды (Taeniidae)
Род эхинококки (Echinococcus) и альвеококки (Alveococcus)
На сегодняшний день выделено несколько генотипов эхинококков, которые переносятся животными, имеют различные ареалы обитания и строение.
Возбудители:
- Echinococcus granulosus вызывает гидатидозную (кистозную) форму эхинококкоза (эхинококкоз). Чаще всего локализуется в печени и лёгких, приводит к образованию кист.
- Echinococcus multilocularis вызывает альвеолярную форму эхинококкоза (альвеококкоз). Обычно поражает печень, может привести к смерти.
В Новом Свете (Центральной и Южной Америке) обнаружены новые возбудители заболевания:
- Echinococcus oligarthrus вызывают так называемый «неотропический эхинококкоз»;
- Echinococcus vogeli вызывает поликистозную форму;
- Echinococcus oligarthrus вызывает крайне редкую уникальную монокистозную форму.
Эхинококк и альвеококк виды ленточных червей, которые в половозрелом состоянии паразитируют в тонком кишечнике плотоядных животных: первый затрагивает собак, волков, шакалов, второй лисиц, койотов, иногда собак.
Длина эхинококка 2-7 мм, альвеококка 1-4 мм. Их тело состоит из головки и 4-6 члеников, причём первые два бесполые, третий содержит гермафродитную систему органов (яичник, желточник, семенники), а конечный членик является зрелым, имеет в своём составе шаровидную матку и составляет примерно половину длины тела (содержит в среднем до 800 яиц).
Яйца паразита овальной формы выделяются с отделившимся конечным члеником. Проходя по кишечнику, они попадают в окружающую среду с экскрементами животных, причём сразу становятся заразными. Они загрязняют почву, траву, воду, могут прилипать к шерсти животного, некоторое время находиться на его морде при вылизывании.
В почве яйца паразита могут сохранять жизнеспособность до года, хорошо переносят сухой климат, становясь элементами пыли. Стандартные средства дезинфекции не оказывают на них эффекта. Гибнут яйца лишь при кипячении в течении 20-30 секунд.
Заражение промежуточного хозяина (в т. ч. человека) происходит при проглатывании яиц. Они вылупляются в тонком кишечнике, затем через его стенку проникают в кровеносное русло и разносятся током крови в различные органы, в дальнейшем претерпевая специфические изменения: образование, сохранение и клонирование кист вторичный эхинококкоз.
Эхинококковые кисты состоят из внутренней зародышевой оболочки и наружной кутикулы. Внутри они содержат бесцветную жидкость с плавающими в ней зрелыми зародышами сколексами. Кутикулярная оболочка напоминает по структуре хитин насекомых плотную защитную оболочку. Она непроницаема для микрофлоры, белков хозяина, в т. ч. антител, но при этом обеспечивает паразиту доступ к низкомолекулярным питательным веществам.
Размер кист может быть от миллиметра (не видно на УЗИ) до 40-50 см. Могут содержать в своём составе дочерние кисты, т. е. являться многокамерными. С течением времени вокруг кисты в результате иммунных реакций образуется плотная фиброзная капсула (затрудняет рост и питание кисты), иногда происходит её обызвествление.
При поедании сырого или недостаточно термически обработанного мяса инфицированных животных (козы, овцы и др.) происходит инфицирование окончательного хозяина: паразит теряет свою оболочку, выходя из личиночной стадии, прикрепляется к слизистой оболочке тонкой кишки и развивается во взрослую особь за 32-80 дней.
Взрослые особи E. vogeli достигают длины до 5,6 мм, а E. Oligarthrus до 2,9 мм. Они не имеют принципиальных различий в строении и жизненном цикле. Их кисты аналогичны кистам при кистозном эхинококкозе, но они отличаются многокамерностью.
Причины возникновения
Основным резервуаром инфекции являются домашние собаки. Человек заражает при контакте с животными (т.к. яйца выделяются в окружающую среду с их фекалиями, прикрепляясь к поверхности шерсти, иногда эхинококк может самостоятельно выползать из анального отверстия собаки), при употреблении в пищу продуктов питания и воды, загрязнённых яйцами паразита.
Стадии морфогенеза
Для эхинококка характерно прохождение определенных стадий в своём развитии (морфогенез):
- 1.зрелая особь;
- 2.яйцо;
- 3.личинка (онкосфера);
- 4.финна;
- 5.эхинококковый пузырь (киста).
Зрелая особь или её часть сегмент, членик, обитающая в организме окончательного хозяина (домашние животные), вместе с испражнениями выходит наружу, при этом членик, содержащий яйца паразита, лопается.
Они оказываются в окружающий среде (могут долго находиться в латентном периоде, сохраняя способность к инвазии и заражению) и прикрепляются к различным поверхностям: к шерсти животным, траве, предметам, попадают в воду и диссеминируют в ней.
Эти яйца алиментарным путем или фекально-оральным попадают в организм человека, наступает инвазионная стадия развития личинка (онкосфера). Стадия морфогенеза заключается в том, что будущая онкосфера теряет свою оболочку, адгезирует к стенке сосуда, перфорирует её, проникая в ток крови и разносится большим кругом кровообращения по организму.
Личинка может оказаться не только в органах, но и в костной ткани, мышечной, жировой. Прикрепившийся к субстрату паразит вступает в новую период развития, трансформируясь в финну, которая представляет собой большой пузырь, заполненный жидкостью и содержащий сколексы.
Эхинококковый пузырь медленно растёт, получая необходимые для жизнедеятельности вещества и может достигать огромных размеров, оказывая давления на прилежащие органы и ткани, а при прорыве стенки кисты (в результате резкого толчка, гнойного расплавления при обострении) всё его содержимое (сколексы) изливается наружу, вызывая не только новые очаги поражения, но и токсический шок.
Человек является биологическим тупиков в цикле развития эхинококка, а окончательным хозяином, то есть организмом, где формируется зрелая половозрелая особь, являются домашние и дикие животные.
Распространенность
Заразиться эхинококкозом может любой человек. Иммунитета к данному заболеванию не существует, поэтому после излечения возможно повторное заражение инфекцией. В нашей стране наиболее опасными регионами считаются Поволжье, Северный Кавказ, Хабаровский край, Краснодарский край, Башкортостан, Магаданская, Омская, Томская, Амурская области.
Также инфекция находит своё распространение в таких странах, как Китай, Южная Америка, Восточная Африка, Индия, Австралия, выявляется и в странах Европы. На рисунке 2 представлен ареал распространения Echinococcus granulosus, где темно-синим цветом отмечены регионы с наибольшей заболеваемостью (источник информации ВОЗ).

Рисунок 2 — Географическое распространение Echinococcus granulosus (источник ВОЗ)
Источниками инфекции, а также окончательными хозяевами гельминта являются плотоядные животные: домашние кошки и собаки, волки, шакалы, рыси и прочие. В их кишечнике паразитирует зрелая особь червя. Данные животные выделяют с калом членики глиста, внутри которых находятся его яйца. Членики попадают в траву, землю, на шерсть домашних животных.

Рисунок 3 — Жизненный цикл эхинококка (источник CDC)
Промежуточными хозяевами являются травоядные животные и человек, которые могут проглотить яйца гельминта. Обычно заражение человека осуществляется при пренебрежении правилами личной гигиены, контакте с уличными животными, а также при употреблении в пищу немытых ягод, сырых овощей, поверхность которых может содержать яйца паразитов, сырой воды из открытых водоёмов.
Таким образом, пищевая цепь заражения в естественной природе имеет следующий вид: окончательный хозяин выделяет в траву и почву членики глиста, содержащие яйца паразита. Травоядное животное, съев траву, заглатывает яйца гельминта, которые затем превращаются в его организме в эхинококковый пузырь, содержащий множество личинок и сколексов.
При гибели заражённого промежуточного хозяина и употреблении его мяса хищным животным личинки проникают в организм окончательного хозяина, где вновь образуются взрослые особи, способные выделять членики и яйца в окружающую среду.
Жизненный цикл
Яйца эхинококка выходят из кишечника окончательного хозяина вместе с калом и могут попасть на его шерсть.
Промежуточный хозяин
В роли промежуточного хозяина эхинококка может выступать домашний скот (коровы, овцы, свиньи) или человек. Заражение происходит перорально (через ротовое отверстие). В кишечнике из яйца выходит личинка с шестью подвижными крючьями на заднем конце тела(онкосфера). С помощью крючьев она проникает через стенку кишечника в систему воротной вены и с кровью заносится в печень, реже в лёгкие, мышцы, кости или другие органы. Здесь онкосфера развивается в пузырчатую стадию (финну), которая также называется эхинококком. У большинства видов онкосфера образует пузырь, на стенках его возникают вторичные и даже третичные пузыри, на которых формируется множество сколексов, сходных с таковыми взрослых червей. Пузыри эхинококка растут очень медленно и могут достигать больших размеров.
Окончательный хозяин
Окончательный хозяин заражается эхинококком при поедании больного или павшего животного, содержащего пузырчатую стадию этого червя. Окончательными хозяевами эхинококка на территории СНГ являются: собака (основной хозяин), волк.
Общие сведения
Эхинококкоз – гельминтное заболевание из группы цестодозов, вызываемое паразитированием в организме человека эхинококка в стадии онкосферы. В мире наибольшая заболеваемость эхинококкозом отмечается в Австралии, Новой Зеландии, Северной Африке, Южной Америке, Южной Европе, Центральной Азии. В России гельминтоз встречается в Поволжье, Приуралье, Ставропольском и Краснодарском крае, Западной Сибири, на Дальнем Востоке.
В эндемичных регионах заболеваемость населения эхинококкозом достигает 5-10%. Распространенность эхинококкоза тесно связана с развитием животноводства. Учитывая тот факт, что при эхинококкозе могут поражаться различные внутренние органы, а единственно радикальным методом лечения является операция, заболевание лежит в сфере интересов торакоабдоминальной хирургии, нейрохирургии, кардиохирургии.

Эхинококкоз
Жизненный цикл эхинококка и пути заражения
Человек для эхинококков является только промежуточным хозяином. Превратиться в половозрелую особь глист может только в теле животных. Локализуется эхинококк в кишечнике:
- шакалов;
- диких и домашних собак;
- лисиц;
- барсуков;
- волков;
- гиен;
- койотов;
- реже кошек.
Эти животные при инфицировании эхинококкозом ежедневно выделяют во внешнюю среду сотни яиц, которые уже находятся в инвазионной форме. Внутри них содержится заразная онкосфера, способная выживать в жару и холод, в воде и на почве. Промежуточными хозяевами паразита признаны более 50 видов животных и люди. Заглатывают яйца обычно животные, питающиеся травой. В человеческий желудок онкосферы попадают через рот с инфицированными продуктами питания и овощными культурами.
Жизненный цикл эхинококка
В отличие от других временных носителей червя, человек является тупиковым хозяином. Это обусловлено уникальным и неповторимым циклом развития эхинококка. Сначала его яйцо достигает желудка, где сохраняет свою оболочку. После попадания эхинококка в кишечник человека, защитные коконы онкосфер растворяются, и личинка высвобождается. С помощью острых крючков, которые образуются у нее уже в яйце, она внедряется в кишечную стенку и проникает в системный кровоток и точнее в воротную вену. По сосудам онкосферы разносятся к месту постоянного обитания.
Заражение
Эхинококковые кисты находятся во внутренностях заражённых травоядных животных. При гибели этих животных или в могильниках у скотобоен этими павшими животными могут питаться собаки и другие хищники (волки, лисицы). Тогда они заражаются, в свою очередь, и у них в кишечнике поселяются многочисленные экземпляры половозрелых эхинококков.
Заражённые эхинококками звери (псовые, медведи, кошки, в том числе домашние и другие хищники) выделяют членики паразита, набитые яйцами, с экскрементами и загрязняют яйцами эхинококка землю, траву, пастбища, всю территорию где пребывали и в том числе воду. Облизываясь, собаки разносят по своей шерсти яйца паразита. Травоядные животные в свою очередь на этом же пастбище (любой другой территории) заражаются, поедая траву с яйцами паразита. Далее люди, гладя загрязнённых собак или кошек, при доении или стрижке овец, при стрижке и выделке шкур, имеют с паразитом тесный контакт, получают шанс проглотить яйца эхинококка, которые могут быть занесены грязными руками в рот или на продукты питания. Таким же образом паразит попадает на изделия из кожи и шерсти в условиях плохой обработки шкур, меха, шерсти. При высыхании на улице экскрементов собак, заражённых эхинококком, при сильном порыве ветра паразит может быть перенесён на расстояние и попасть на открытые продукты питания, посуду, в воду. Далее инфицированная посуда и уже готовая пища могут стать источником заражения не потому, что плохо была проведена термическая обработка продуктов и была грязная посуда, а потому, что на них уже после обработки и приготовления попали яйца паразита. Но такое возможно только в местности, где вероятно заражение собак и близкое их проживание с людьми, у пастбищ и скотобоен. Попав в кишечник человека, личинка проходит через стенку кишки в систему воротной вены и разносится с кровотоком по всему организму. Первым пунктом, где она задерживается, в большинстве случаев оказывается печень. От того, сколько личинок попало в кишечник, сколько их проникло в кровь и сколько задержалось в печени или погибло в кишечнике, в крови зависит количество образовавшихся в организме человека эхинококковых кист. Также эхинококковые кисты могут поражать головной мозг человека.
Пути заражения эхинококками
Пути заражения окончательного хозяина
В случае эхинококкоза человека главную роль окончательного хозяина играет собака. Их заражение происходит при поедании субпродуктов и мяса из скотобоен, мясных отбросов кухонь, отбросов забитых в домашних условиях животных, зараженных личинками паразитов. Собаки могут заразиться при поедании пораженных органов животных, пойманных на охоте или трупов диких травоядных животных.
Пути заражения промежуточного хозяина
Промежуточные хозяева заражаются паразитами при заглатывании яиц эхинококков или их члеников (сегментов) с водой, сеном и травой, загрязненных фекалиями зараженных собак.
Пути заражения человека
Человек является промежуточным хозяином для эхинококков, биологическим тупиком. В его организме паразит развивается только до личиночной стадии, вызывая заболевание эхинококкоз.
- Яйца паразитов попадают в организм человека через рот. Основным источником гельминтоза являются инфицированные собаки. На их шерсти находится множество яиц эхинококков, которые рассеиваются в окружающей среде, попадают в воду, на ягоды, фрукты, овощи продукты питания. Грязные руки, привычка позволять собакам лизать лицо, употребление сырой воды из неизвестных источников, доступ собак к пищевым продуктам основные факторы передачи инфекции.
- Здоровые собаки могут стать источником гельминтоза в случае, когда они выступают в качестве переносчиков яиц паразитов на своей шерсти.
- Заражение человека эхинококками может произойти во время охоты, разделки шкурок и производстве меховых изделий инфицированных животных.
Эхинококкоз печени
Для эхинококкоза печени характерны жалобы на тошноту, снижение аппетита, периодически возникающую диарею, тяжесть и боли в правом подреберье. Объективно обнаруживается гепатоспленомегалия; иногда эхинококковая киста печени пальпируется в виде округлого плотного образования. В случае сдавления кистой желчных протоков развивается механическая желтуха; при компрессии воротной вены возникает асцит, портальная гипертензия. Присоединение вторичной бактериальной флоры может приводить к формированию абсцесса печени. Наиболее тяжелым осложнением эхинококкоза печени служит перфорация кисты с развитием клиники острого живота, перитонита и тяжелых аллергических реакций. При этом происходит диссеминация эхинококков, в результате чего развивается вторичный эхинококкоз с множественный локализацией.
Эхинококкоз легких
Эхинококкоз легких протекает с повышением температуры тела, интоксикационным синдромом, болью в груди, кашлем, кровохарканьем. Давление кисты на легочную ткань приводит к формированию ателектазов легких. При прорыве пузыря в бронхи развивается сильный кашель, цианоз, нередко — аспирационная пневмония. Крайне опасным осложнением легочного эхинококкоза является прорыв кисты в плевру и перикард, что может привести к анафилактическому шоку, резкому смещению средостения, тампонаде сердца и внезапной смерти. Инфицирование эхинококковой кисты сопровождается формированием абсцесса легкого.
Эхинококкоз сердца
При эхинококкозе сердца беспокоят загрудинные боли, напоминающие стенокардию. Компрессия кистами венечных артерий может вызвать развитие инфаркта миокарда. Часто возникают нарушения ритма и проводимости: желудочковая тахикардия, неполная и полная блокады ножек пучка Гиса, полная поперечная блокада сердца. Причинами гибели пациента с эхинококкозом сердца могут стать злокачественные аритмии, сердечная недостаточность, тампонада сердца, кардиогенный шок, ТЭЛА, постэмболическая легочная гипертензия и др.
Эхинококкоз головного мозга
Клинка эхинококкоза головного мозга характеризуется гипертензионным синдромом и очаговой неврологической симптоматикой (нарушением чувствительности, парезами конечностей, эпилептиформными приступами).
Основные положения
-
Эхинококкоз развивается при проглатывании яиц ленточного червя, из которых высвобождаются онкосферы, в дальнейшем мигрирующие в печень или легкие, реже — в мозг, кости или другие органы, где формируют кисты; взрослые черви не обнаруживаются в желудочно-кишечном тракте человека.
-
Кисты E. granulosus развиваются медленно (как правило, в течение многих лет) в большие (до 1 л), заполненные жидкостью кисты (эхинококковые кисты), которые содержат многочисленные протосколексы.
-
Фекалии зараженных собак и других псовых являются основным источником заражения человека.
-
Кисты в печени сопровождаются болью и иногда желтухой; кисты в легких могут вызвать боль, кашель и кровохарканье.
-
Е. multilocularis не вызывает развитие больших кист, но внедряется и разрушает окружающие ткани, может привести к развитию печеночной недостаточности и смерти.
-
Диагностика проводится с помощью КT, MРТ и ультразвукового исследования, анализа жидкости кисты и серологического исследования.
-
Лечение варьирует в зависимости от видов Echinococcus, расположения, размера кисты и ее характерных особенностей при визуализирующем исследовании; оно может включать в себя хирургическое вмешательство, аспирацию содержимого кисты, инстилляцию антипаразитарного агента и пункционную методику PAIR (Puncture, Aspiration, Injection, Re-Aspiration – пункция, аспирация, инъекция, повторная аспирация), а также длительное лечение альбендазолом.
Классификация и стадии развития эхинококкоза
Наиболее полная классификация эхинококкоза (на примере печени) была представлена В.Я. Глумовым в 1980 году .
По принципу заражения выделяют:
- Первичный эхинококкоз (появился впервые).
- Вторичный эхинококкоз (возник повторно):
- диссеминированный (развился из-за разноса личинок паразита по другим органам через кровь и лимфоток);
- рецидивирующий;
- метастатический (возник после вскрытия кисты в сосуд или сердце).
- Первичный множественный эхинококкоз различных органов.
По диаметру эхинококковых кист выделяют три типа образований:
- мелкие (меньше 5 см);
- средние (меньше 10 см);
- крупные (больше 10 см).
По количеству кист образования бывают:
- однокистными;
- многокистными.
По локализации кисты в органе различают:
- подкапсульный эхинококкоз;
- поддиафрагмальный эхинококкоз;
- периферический (поверхностный) эхинококкоз;
- центральный (внутриорганный) эхинококкоз.
По клинико-анатомическим признакам выделяют две формы эхинококкоза:
- Неосложнённая форма.
- Осложнённая форма:
- гнойно-деструктивный холангит и перихолангит (воспаление желчных протоков);
- хронический персистирующий (медленно развивающийся) гепатит;
- паразитарный цирроз;
- желтуха;
- портальная гипертензия
- прорыв кисты с распространением процесса по всему органу или организму;
- нагноение кисты;
- сепсис;
- системный амилоидоз (отложение белков амилоидов во всех тканях организма).
По течению выделяют четыре стадии болезни:
- первая — бессимптомная стадия;
- вторая — стадия начальных проявлений;
- третья — стадия выраженных проявлений;
- четвёртая — стадия осложнений.
Виды эхинококкоза печени
В гастроэнтерологической практике выделяют 2 вида течения болезни. Бывает альвеолярный и гидатидозный эхинококкоз железы. Эти разновидности имеют свои особенности.
Гидатидозная форма не имеет яркой клиники в течение продолжительного времени. Чаще всего первые признаки начинают беспокоить человека, когда одна или множественные кисты приобретают большой размер. В зависимости от расположения очага поражения данная форма делится на разновидности – передняя, восходящая и нисходящая. Признаки недуга появляются в течение года после инфицирования.
Альвеолярная форма отличается хроническим течением. В течение 10 и более лет инвазия может никак не проявляться. В последующем формируются множественные кисты, что приводит к утрате функциональности печени.
Степени паразитарного недуга:
- Легкая. Симптоматика отсутствует.
- Среднетяжелая. Признаки выражены незначительно, боли при пальпации печени нет. Болевой синдром проявляется, когда киста достигает критического размера.
- Тяжелая. Яркая клиника, быстро развиваются осложнения.
Независимо от формы эхинококкоза, если отсутствует лечение, паразиты поражают органы брюшной полости, спинной/головной мозг, сердце, легкие.
Этиология гельминтозной болезни
Основной фактор, приводящий к развитию болезни, это проникновение эхинококков в человеческий организм. Выделяют несколько путей проникновения паразитов:
- Несоблюдение правил гигиены после контакта с собаками. Переносчиками глистов выступают дворняги, а еще домашние животные.
- Потрeбление овощей, фруктов без предварительного мытья.
- Употрeбление сырой воды из природных источников.
- Охота на диких животных, которые выступают промежуточными хозяевами. Так, заражение может произойти во время разделки туши животного, либо после употрeбления инфицированного мяса.
В группу риска попадают маленькие дети, люди, которые контактируют с сельскохозяйственными животными.
Сначала яйца гельминтов попадают в желудок человека, после по кровеносной системе достигают печени, в которой начинается процесс размножение. Он может продолжаться годами. Сам по себе паразит небольшого размера, но провоцирует образование кисты – от 1 до 50 сантиметров. Вокруг нее формируется плотная оболочка фиброзного характера.
Патогенез (что происходит?) во время Эхинококкоза легких:
Эхинококкоз развивается в связи с внедрением и ростом в различных органах личинки ленточного глиста — эхинококка.
Человек заражается эхинококкозом преимущественно перорально, и в связи с гематогенным путем распространения онкосферы могут поражать любой орган, любую ткань, но чаще всего печень (44 — 85%), затем легкие (15 — 20%) в более редких случаях по большому кругу кровообращения — почки, кости, головной и спинной мозг и другие органы.
В пораженных органах может развиться одна киста или сколько — множественный эхинококкоз в зависимости от занесенных онкосфер.
Патологическое влияние эхинококка обусловлено механическим и сенсибилизирующим влиянием растущей личинки. Размеры кист от 1 — 5 см в диаметре до гигантских кист, содержащих несколько литров жидкости. Механическое воздействие такой кисты приводит к нарушению функции пораженного органа. Локализация и размеры определяют основную симптоматологию и тяжесть заболевания.
Сенсибилизация организма продуктами обмена паразита ведет к развитию гиперчувствительности немедленного и замедленного типа. Ярким проявлением аллергической реакции немедленного типа являются эозинофилия и крапивница в результате просачивания эхинококковой жидкости, а в более тяжелых случаях (при вскрытии пузыря) анафилактический шок. В поздних стадиях болезни особенно при множественном эхинококкозе важную роль играют иммунопатологические реакции.
Первичным хозяином эхинококкоза являются собаки, волки, шакалы, лисы и др. Паразит, который живет у них в тонкой кишке, состоит из головки, шейки и члеников — самый задний и крупный, четвертый, является зрелым. Такой зрелый членик, отделившись от червя, выбрасывает яйца, которые с фекалиями выделяются наружу. Чаще собака, являясь носителем гельминта (глист), служит источником загрязнения яйцами эхинококка пастбищ, водоемов, помещений для животных и жилищ человека.
С момента проглатывания членика или его яиц (т.н. онкосферы) начинается период развития личинки паразита. Пищеварительные соки помогают зародышу освободиться от оболочек и с помощью своих крючьев проникает в слизистую оболочку желудочно-кишечного тракта. Далее, с током крови или лимфы, разносится по органам (печень, легкие, почки, мышцы) и, уже осев в их тканях, превращается в личинку. К концу 2 недели она принимает пузырчатую структуру.
Через 5 мес. образовавшийся пузырек имеет в диаметре 5 мм. В дальнейшем пузырек растет медленно, годами, и постепенно, спустя 20-25 лет, достигает больших размеров, емкостью 10 л и более: соединительнотканная капсула со стенками из хитина. Полость этой кисты наполнена слегка желтоватой жидкостью нейтральной реакции, содержащей хлорид натрия, виноградный сахар, тирозин, янтарную кислоту, альбумин и др. Хитиновая оболочка состоит их двух слоев: наружного плотного (кутикулярного) толщиной до 0,5 см и внутреннего (герминативного) зародышевого, из которого образуются в большом количестве, иногда до 1000, дочерние пузыри.
Патологоанатомические изменения в организме человека связаны с механическим давлением на органы растущей кисты. Продукты жизнедеятельности паразита раздражают окружающие ткани, вызывая их хроническое воспаление.
Симптомы паразитарного заболевания
Наличие эхинококков в печени долгое время никак не проявляется, и обнаруживается часто случайно, во время профилактического обследования либо по причине другого заболевания.
Симптомы паразитарной болезни напрямую обусловлены локализацией, размерами, скоростью роста кисты, степенью ее воздействия на соседние органы и ткани. При беременности, иммунодефиците, недостатке витаминов в организме, сопутствующих болезнях инвазия протекает тяжелее.
Заболевание классифицируется на три стадии течения. На первой стадии (от момента проникновения гельминта в организм и до появления первых признаков) пациенты ни на что не жалуются. Киста или кисты небольшого размера. У некоторых пациентов возможно развитие аллергической реакции – жжение и зуд кожи, сыпи нет.
На второй стадии выявляется существенная гепатомегалия, а это приводит к нарушению функциональности печени, провоцирует клинические проявления:
- Тошнота, приступы рвоты (чаще всего они связаны с приемом пищи, возникают после употрeбления жирной, соленой и острой еды).
- Тяжело дышать.
- Дискомфорт, тяжесть или боль в области проекции печени. Периодически болевой синдром локализуется в верхней части брюшины (обычно после еды, физической активности).
- Изжога, кашель.
- Ухудшение аппетита, снижение веса.
- Общее недомогание – слабость, постоянная усталость.
- Понос.
- Изменение цвета кала, поскольку происходит нарушение желчной секреции.
Если на второй стадии не начать соответствующую антигельминтную терапию, то развиваются осложнения – это уже 3-я стадия.
Возможные осложнения
Третий этап характеризуется развитием различных осложнений. К ним относят нагноение либо разрыв паразитарной кисты, что ведет к перитониту гнойного характера, сильнейшей интоксикации.
Желтеет кожа, слизистые оболочки, развивается печеночная недостаточность. На стадии осложнений у больного выявляется значительное увеличение температуры тела, лихорадочное состояние.
Другие осложнения – анафилактический шок, эпилептические приступы, массивное внутреннее кровотечение, цирроз печени, паралич, нарушение зрительного восприятия, асцит – скопление жидкости в брюшной полости человека. Осложнения приводят к инвалидности, cмepти.
Диагностика эхинококкозов
В 1911 году итальянский врач и психолог Томазо Казони предложил кожно-аллергическую пробу, позволяющую определить инвазию личинкой эхинококка. Для этого внутрикожно вводят 0,2 мл стерильной эхинококковой жидкости, содержащей антигены паразита и наблюдают за реакцией. Положительной реакция считается при аллергических явлениях, наблюдаемых при многих гельминтозах. Надёжность данного метода от 50 %. Из-за тяжёлых последствий реакции Казони (анафилаксии) в настоящее время для диагностики используют УЗИ и рентгенографию (на рентгенограмме видны пузыри с тенями). Также информативны иммуноферментный анализ (ИФА) и полимеразная цепная реакция (ПЦР). Эти методы используется и для ранней диагностики эхинококкоза.
Яйца эхинококка
Возбудителем эхинококкоза являются личинки и яйца паразита. Яйца эхинококка устойчивы к окружающей среде, они переносят температуру от -30 С до +38 С. Если они находятся на поверхности почвы, то их жизнеспособность сохраняется в течение месяца. В траве продолжительность жизни онкосфер увеличивается до 1,5 месяца. Яйца хорошо переносят низкие температуры и могут сохраняться в течение многих лет, так как устойчивы к высыханию.
В воду и пищу, яйца попадают разными путями, то чаще всего это такие методы распространения:
- По воздуху из высушенного кала животных. Самый распространенный способ. При нахождении в южных регионах и употреблении пищи, которая какое-то время стояла на открытом воздухе, есть риск, что в нее с ветром попали яйца паразита. В воду они попадают с калом животных, поэтому пить не обработанную жидкость очень опасно.
- Из грязных рук после общения с животными и употребления в пищу немытых овощей и фруктов. Это возможно в эндемичных районах, где яйца червя переносятся по воздуху на шерсть животных, фрукты и овощи.
Обратите внимания, что в сыром мясе нет личинок и яиц, которыми можно заразиться. Заражение происходит только теми личинками, которые попадают во внешнюю среду из кишечника зараженных животных. Фекалии таких хищников высыхают, и яйца разносятся с ветром, оседая на шерсти бродячих и домашних животных, плодах и деревьях.
Личинка эхинококка
В отличие от личинок бычьего и свиного цепня личинка эхинококка имеет способность к бесполому размножению путем почкования. Пузырь паразита представляет собой плотный шар с бесцветной жидкостью и пузырями меньшего размера внутри, которые также могут содержать пузырьки, заполненные жидкостью. На их внутренней поверхности растут выводковые капсулы, в которых идет закладка головок будущих червей. То есть внутри одного эхинококкового пузыря находится множество будущих червей.
Для того чтобы паразитические личинки погибли и их жизненный цикл завершился, зараженное животное должно съесть часть пузыря с живыми головками. Такое происходит при поедании туш павших животных. Через 2-3 месяца после заражения черви становятся половозрелыми.
Человек в жизненном цикле червя носит факультативный характер. На ранних стадиях заражения болезнь протекает бессимптомно, серьезные проявления дают о себе знать через пару месяцев-лет после инфицирования. Разрастающиеся во внутренних органах личинки нарушают их функционирование и давят на окружающие ткани. Это может привести к разрыву эхинококкового пузыря и множественному заражению. Попавшие в организм кусочки, ткани и головки большого пузыря дают начало новым. Разрыв пузыря с будущими личинками может привести к смерти, как основного, так и промежуточного хозяина.
Финна эхинококка
Цепень биогельминта считается самым опасным паразитом для живых организмов. Половозрелая особь достигает 5 мм в длину и состоит из 3-4 члеников, которые при попадании в организм формируют новообразования финны. Финна эхинококка это пузырь, который может достигать огромных размеров, как в объеме, так и по весу. Внутри они содержат жидкость с бесчисленными выводковыми камерами. Личинки паразита отлично приживаются практически во всех органах и тканях.
Жизненный цикл червя проходит несколько стадий:
- Яйцо
- Первичная личинка онкосфера
- Вторичная личинка финна
- Половозрелая особь
Финна является предпоследней стадией развития. Она растет и питается тканями органа, в котором паразитирует. Каждый из пузырьков, находящихся во вторичной личинке имеет внутреннюю и наружную оболочки с жидкостью. Во внутренних оболочках находятся специальные камеры, в которых черви дозревают.
Развитие зародышей происходит очень медленно, только через 30 дней после заражения капсула финны вырастает до 1 мм в диаметре и через 5-6 месяцев до 1 см. Финна растет и развивается годами, формируя на своих внутренних стенках дочерние пузырьки с многочисленными головками. Исходя из этого, можно сделать вывод, что лечение лучше проводить на ранних стадиях, когда капсула имеет небольшие размеры и не оказывает патологического влияния на функционирование организма.
Эхинококковая киста
Финна в пораженном органе (чаще в печени) растет и через 5 месяцев превращается в пузырек около 5 мм в диаметре. Далее эхинококковая киста растет крайне медленно, но за многие годы может достигнуть огромных размеров. Описаны случаи находок кист весом 12 кг и более. Эхинококковая киста представляет собой округлое плотноэластичное образование белого цвета, снаружи покрыта плотной фиброзной оболочкой (капсулой).
По мере роста киста сдавливает окружающие ткани. Питается паразит за счет питательных веществ, которые извлекаются из крови и межтканевой жидкости хозяина.
Жидкость, заполняющая кисту
Полость кисты заполнена жидкостью желтоватого цвета, нейтральной реакции, содержит белок, натрия хлорид, тирозин, виноградный сахар, янтарную кислоту и хитин.
Оболочка эхинококковой кисты
Оболочка эхинококковой кисты имеет 2 слоя: плотный наружный (кутикулярный) толщиной 0,5 сантиметров и внутренний эмбриональный. Фиброзная капсула (наружная оболочка) выполняет барьерную функцию. Внутренняя оболочка тонкая, в ней образуются выводковые капсулы, имеющих вид пузырьков до 1,5 мм в диаметре. На стенках выводковых капсул развиваются зародышевые сколексы, округлой формы. Их число огромно до 100 в одной капсуле. Часть сколексов отделяются от капсул и свободно плавают в жидкости (эхинококковый песок). Из зародышевой оболочки образуются дочерние сколексы, из дочерних сколексов образуются внучатые сколексы.
Количество сколексов достигает 400 тыс. в 1 куб. миллилитре эхинококкового песка. У животных встречаются ацефалоцисты кисты, в которых отсутствуют зародыши.
- В случае прорыва пузыря в брюшную полость (при локализации его в печени) или плевральную полость (при локализации пузыря в легких) дочерние пузыри и сколексы имплантируются в зонах заноса, где развивается аналогичный пузырь.
- В случае обильного инфицирования образуется множество пузырей. Они могут локализоваться в нескольких органах.
- При повреждении кисты могут нагнаиваться.
- При гибели эхинококка отмечается обызвествление паразита.
Лечение эхинококкоза
Лекарства от эхинококка повреждают зародышевый слой эхинококковых кист. Эффект от лечения оценивают по УЗИ в кисте появляются складки.
- Альбендазол 10-15 мг/кг в сутки в течение 3-6 месяцев.
- Мебендазол 40-50 мг/кг в сутки в течение 3-6 месяцев.
Важно!!! Лекарства убивают Echinococcus granulosus, но лишь подавляют рост Echnococcus multilocularis.
Побочные действия лекарств: повышение трансаминаз печени, тромбоцитопения, нейтропения, алопеция.
Эхинококковые кисты вырезают или полностью удаляют пораженный орган при больших поверхностно расположенных кистах (опасность разрыва), инфицированных кистах, кистах соединяющихся с желчными протоками и при действие объемного процесса на жизненно-важные органы легкие, сердце, головной мозг, почки и т.д.
Рекомендуют принимать альбендазол или мебендазол за 4 дня до операции, и 3 месяца после операции.
Если киста во время операции вскрывается, то протосколексы дают новый рост, что обнаруживается спустя несколько лет.
- https://clinic-a-plus.ru/articles/parazitologiya/1207-ekhinokokk-simptomy-u-cheloveka-foto-prichiny.html
- https://sterilno.net/infection/gelmintozy/echinococcosis-symptoms-treatment.html
- https://www.KrasotaiMedicina.ru/diseases/infectious/echinococcosis
- https://medcentrvista.ru/info/ehinokokk
- https://www.msdmanuals.com/ru/%D0%BF%D1%80%D0%BE%D1%84%D0%B5%D1%81%D1%81%D0%B8%D0%BE%D0%BD%D0%B0%D0%BB%D1%8C%D0%BD%D1%8B%D0%B9/%D0%B8%D0%BD%D1%84%D0%B5%D0%BA%D1%86%D0%B8%D0%BE%D0%BD%D0%BD%D1%8B%D0%B5-%D0%B1%D0%BE%D0%BB%D0%B5%D0%B7%D0%BD%D0%B8/%D0%BB%D0%B5%D0%BD%D1%82%D0%BE%D1%87%D0%BD%D1%8B%D0%B5-%D1%87%D0%B5%D1%80%D0%B2%D0%B8-%D1%81%D0%BE%D0%BB%D0%B8%D1%82%D0%B5%D1%80%D1%8B/%D1%8D%D1%85%D0%B8%D0%BD%D0%BE%D0%BA%D0%BE%D0%BA%D0%BA%D0%BE%D0%B7
- https://ProBolezny.ru/ehinokokkoz/
- https://detdom-vidnoe.ru/for_parents/20294.php
- https://aestheticmed.ru/ehinokokk/
